Kemik Erimesi Olanlar İmplant Diş Yaptırabilir Mi?

Diş implantları, diş kaybı yaşayan bireyler için hem estetik hem de fonksiyonel açıdan kalıcı çözümler sunar. Ancak bazı sağlık durumları, implant tedavisinin uygulanabilirliği konusunda soru işaretleri oluşturabilir. Özellikle kemik erimesi (osteoporoz) hastalığı olan kişiler, “İmplant yaptırabilir miyim?” sorusunu sıkça dile getirir. Bu yazımızda kemik erimesi ile implant tedavisi arasındaki ilişkiyi ve nelere dikkat edilmesi gerektiğini […]
Şeker Hastası İmplant Diş Yaptırabilir mi?

Diş kayıplarının tedavisinde en etkili ve uzun ömürlü çözümlerden biri olan dental implantlar, estetik ve fonksiyonel açıdan hastalara büyük avantajlar sunar. Ancak şeker hastalığı (diyabet) gibi sistemik hastalıklara sahip bireylerde implant uygulamaları hakkında bazı endişeler söz konusu olabilir. Peki, şeker hastaları implant diş yaptırabilir mi? Diyabetin Ağız ve Diş Sağlığı Üzerindeki Etkileri Diyabet, vücudun insülin […]
Aşkın ve Estetiğin Buluştuğu Yer: Düğün Öncesi Ağız ve Diş Bakımı

Evlilik, sadece iki insanın birleşmesi değil; aynı zamanda yepyeni bir hayatın başlangıcıdır. Değişen çağlara rağmen evlilik kurumu kutsallığını korumaya devam ediyor. Düğün günleri, bu yeni başlangıcın en özel anıdır ve o günü unutulmaz kılan şeylerden biri de içten bir gülümsemedir. Beyaz gelinlik ve damatlık ne kadar hayal edilen detaylarsa, o gün yansıtılan mutlu bir gülümseme […]
Düğün Gününüzde Mükemmel Gülümsemeye Hazır mısınız?

Beyaz Bir Gelinlik, Bembeyaz Bir Gülümsemeyle Tamamlanır Düğün, hayatımızın en özel, en anlamlı ve en unutulmaz anlarından biridir. Bu özel günde herkes en iyi haliyle görünmek ister. Gelinlik, saç, makyaj, aksesuarlar… Hepsi kusursuz bir görüntü oluşturmak için özenle seçilir. Ancak genellikle gözden kaçan ama belki de en önemli detay: gülümsemedir. Çünkü o gün boyunca yüzlerce […]
Gülümsemenizi Engelleyen Diş Eti Problemlerine Lazerli Çözümler

Aynaya baktığınızda dişlerinizden çok diş etlerinizi mi görüyorsunuz? Gülerken ağzınızı kapatma ihtiyacı mı hissediyorsunuz? Gülüşünüzü gölgeleyen diş eti problemleri, hem estetik hem de psikolojik olarak sizi etkileyebilir. Neyse ki, modern diş hekimliği bu sorunlara son derece konforlu ve etkili bir çözüm sunuyor: Lazer teknolojisiyle diş eti tedavisi.Bu yazımızda lazerin diş eti estetiğindeki rolünü, hangi problemlere […]
Lazer Teknolojisiyle Diş Eti Şekillendirme Mükemmel Gülüşün Sırrı

Gülümsemek, insanlarla kurduğumuz iletişimin en doğal ve etkili yollarından biridir. Ancak bazı insanlar, diş yapılarından çok diş etlerinin görünürlüğü nedeniyle gülümsemekten çekinebilir. İşte tam bu noktada modern diş hekimliğinin sunduğu çözümler devreye giriyor. Lazer teknolojisiyle diş eti şekillendirme, estetik gülüş tasarımında çığır açan yöntemlerden biri olarak öne çıkıyor. Peki bu teknoloji tam olarak nedir, nasıl […]
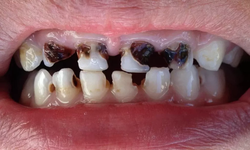
Çocuklarda Diş Çürüğü Neden Olur? Nasıl Önlenir?

Çocukların gülümsemesi dünyalara bedeldir. Ancak o masum gülüşleri tehdit eden en yaygın sorunlardan biri, diş çürükleridir. Çoğu ebeveyn, “Süt dişi nasıl olsa dökülecek” düşüncesiyle bu durumu hafife alabilir. Oysa ki çocukluk döneminde başlayan çürükler, hem ağız sağlığını hem de genel sağlığı olumsuz etkileyebilir. Peki çocuklarda diş çürükleri neden olur ve bu sorun nasıl önlenir? İşte […]
Süt Dişlerine Dolgu Yapılır mı Ebeveynlerin Bilmesi Gerekenler

Süt Dişlerine Dolgu Yapılır mı ? Ebeveynlerin Bilmesi Gerekenler? Pek çok ebeveyn, çocuklarının süt dişlerinde çürük oluştuğunda “Nasıl olsa düşecek, dolguya gerek var mı?” diye düşünür. Bu oldukça yaygın bir sorudur; fakat sanılanın aksine süt dişleri sadece geçici görev görmez. Onlar, çocuğunuzun sağlıklı beslenmesi, düzgün konuşması ve daimi dişlerin doğru konumda çıkması için kritik öneme […]
Aralıklı Dişlerin Porselen Lamina ile Tedavisi

Aralıklı Dişler Neden Oluşur? Aralıklı dişler, genetik faktörler, gelişimsel sorunlar ve çevresel etkiler gibi birçok farklı nedenden dolayı oluşabilir. Dişlerin aralıklı olmasının en yaygın sebepleri arasında, dişlerin boyutlarının yüz yapısına oranla küçük olması, çene yapısındaki farklılıklar, erken süt dişi kayıpları, diş eti hastalıkları ve bazı genetik bozukluklar yer alır. Ayrıca, bazı bireylerde diş etlerinin fazla […]
Sabah Rutininize Diş Bakımı Eklemek Neden Anti-Aging Açısından Önemlidir?

Sabahları yataktan kalkar kalkmaz yüzünüzü yıkıyor, belki bir kahve hazırlıyor ve güne başlıyorsunuz. Ancak diş ve ağız bakımınızı sabah rutininizin merkezine koymak; sadece ağız sağlığınız için değil, genç kalma, yani anti-aging açısından da büyük önem taşıyor. Modern bilimle birlikte, Geleneksel Çin Tıbbı (TCM) da bize gösteriyor ki dil temizliği, diş fırçalama ve ağız bakımı; yalnızca […]