Anında İmplant Uygulaması
Ana Sayfa - Hizmetlerimiz - İmplant - Anında İmplant Uygulaması
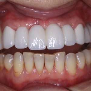
Anında İmplant Uygulaması Nedir?
Anında implant uygulaması veya immediat implant dişin çekildiği gün implant yerleştirilmesidir. Bu yöntemde, diş çekimiyle birlikte aynı seansta diş implantı yerleştirilir. Geleneksel yöntemlere göre daha kısa sürede sonuç almayı sağladığı için tercih edilen bir tekniktir, ancak her vakaya uygun olmayabilir.
Zaman Kazancı: Diş çekimiyle implant yerleştirilmesi aynı anda yapılır, böylece kemik iyileşmesini beklemek için gereken süre ortadan kalkar. Bu, tedavi süresini önemli ölçüde kısaltır.
Kemik Kaybının Azaltılması: Diş çekimi sonrasında doğal olarak kemik rezorpsiyonu (kemik kaybı) başlar. Anında implant uygulaması, kemik kaybını azaltmaya yardımcı olabilir ve kemiğin korunmasını destekler.
Daha Az Cerrahi Müdahale: İki ayrı cerrahi işlem yerine tek bir işlemle hem diş çekimi hem de implant yerleştirilmesi yapılır. Bu da hastaya daha az cerrahi travma ve daha kısa iyileşme süresi sunar.
Estetik Sonuçların İyileştirilmesi: Özellikle ön diş bölgesinde anında implant, hem estetik sonuçların iyileştirilmesi hem de dişsiz kalınan süreyi minimize etme açısından faydalıdır.
Prosedür
Anında implant uygulaması veya immediat implant dişin çekildiği gün implant yerleştirilmesidir. Bu yöntemde, diş çekimiyle birlikte aynı seansta diş implantı yerleştirilir. Geleneksel yöntemlere göre daha kısa sürede sonuç almayı sağladığı için tercih edilen bir tekniktir, ancak her vakaya uygun olmayabilir.
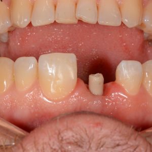
Diş Çekimi
Dişin dikkatlice çekilmesi gerekir, çevre dokuların ve kemik yapısının zarar görmemesi için özen gösterilir.
İmplant Yerleştirilmesi
Diş çekildikten sonra, implant hemen yerleştirilir. Çekim boşluğuna uygun boyutta bir implant seçilerek, çekim boşluğundaki kemiğe sıkı bir şekilde yerleştirilir.
Kemik Grefti
Bazı durumlarda, çekim bölgesinde boşluk oluşabilir. Bu durumda, kemik grefti eklenerek implantın etrafındaki kemik hacmi artırılır ve implantın stabilitesi sağlanır.
Geçici Protez
İmplant yerleştirildikten sonra, bazı durumlarda geçici bir protez yerleştirilebilir. Bu protez, estetik ihtiyaçları karşılar ve iyileşme sürecinde kullanılır. Ancak implantın tamamen iyileşmesi ve kemiğe kaynaması birkaç ay sürebilir, bu nedenle hemen kalıcı protez takılmaz.
Healing Space
Healing space, diş tedavisi sürecinde hastaların stres, kaygı ve korkularını azaltmak amacıyla özel olarak tasarlanmış rahatlatıcı bir ortam sunar; aromaterapi, meditatif müzikler ve sakinleştirici atmosfer ile desteklenen bu alan, tedavi öncesi ve sonrası zihinsel rahatlama sağlarken, hastanın sürece daha konforlu adapte olmasına ve iyileşme sürecini daha huzurlu geçirmesine yardımcı olur.
Healing space, diş tedavisi sonrası hastaların hem fiziksel hem de zihinsel olarak rahatlamasını destekleyen özel bir iyileşme alanıdır; bu süreçte işlem sonrası adaptasyon koçluğu ile hastanın yeni durumuna konforlu şekilde alışması sağlanırken, özellikle implant tedavisi sonrasında uygulanan profesyonel ağrı yönetimi ile iyileşme süreci daha kontrollü, huzurlu ve stressiz hale getirilir.
Anında İmplant Uygulaması Nedir?
Anında implant uygulaması veya immediat implant dişin çekildiği gün implant yerleştirilmesidir. Bu yöntemde, diş çekimiyle birlikte aynı seansta diş implantı yerleştirilir. Geleneksel yöntemlere göre daha kısa sürede sonuç almayı sağladığı için tercih edilen bir tekniktir, ancak her vakaya uygun olmayabilir.
Anında İmplant Uygulamasının Şartları
Her hasta anında implant uygulaması için uygun olmayabilir. Bu yöntemin başarılı olması için bazı şartlar gereklidir:
- Yeterli Kemik Miktarı: İmplant yerleştirilecek bölgede yeterli kemik hacmi ve yoğunluğu olması gerekir. Eğer kemik yetersizse, önce kemik grefti yapılması gerekebilir.
- İltihapsız Bir Ortam: Diş çekilecek bölgede aktif enfeksiyon olmamalıdır. İltihaplı dişler çekildikten sonra enfeksiyonun iyileşmesini beklemek daha güvenli olabilir.
- Diş Eti Sağlığı: Diş eti dokusunun sağlıklı olması, iyileşme sürecini ve implantın stabilitesini etkiler. Sağlıksız diş etleri, implant başarısını olumsuz etkileyebilir.
- Primer Stabilite: İmplantın yerleştirildiği anda kemikte yeterli stabiliteye sahip olması gerekir. Eğer implant, yerleştirildiği anda yeterince sabit değilse, iyileşme sürecinde sorunlar çıkabilir.
Anında İmplant Uygulamasının Riskleri
- Yeterli Stabilite Sağlanamazsa: İmplantın yerleştirildiği anda yeterince stabilite sağlanamazsa, iyileşme süreci boyunca implant başarısız olabilir.
- Enfeksiyon Riski: Eğer çekim bölgesinde enfeksiyon veya iltihap varsa, bu durum implantın başarısını olumsuz etkileyebilir ve implant kaybına yol açabilir.
- Komplikasyonlar: Çekim sonrası iyileşme sürecinde bazı komplikasyonlar gelişebilir, bu da implantın başarısız olmasına neden olabilir.










Bizimle İletişime Geçin
Burada olduğunuz süre boyunca kliniğimizde sizin için olumlu ve rahat bir ortam yaratmak, sağlıklı ve sorunsuz bir tedavi süreci sağlamak istiyoruz.
Bizi Ziyaret Edin
Oran Mahallesi Kudüs Caddesi Park Oran Ofis 1/21 Kat:16 Daire No:54 Çankaya / ANKARA