Kompozit Lamina
Ana Sayfa - Hizmetlerimiz - Estetik Diş Hekimliği - Kompozit Lamina
Kompozit Lamina
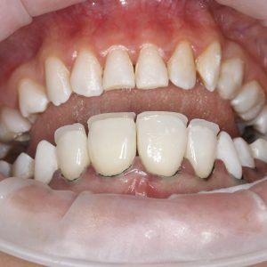
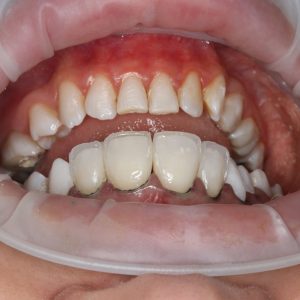
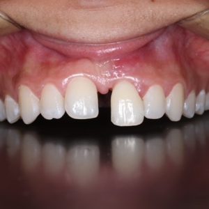
Kompozit laminalar dişlerin görünümünü iyileştirmek için dişlere kompozit rezin malzemesi uygulanan bir kozmetik diş tedavisidir. Bu teknik, renk bozulması, hafif düzeyde çapraşıklıklar, çatlaklar veya boşluklar gibi sorunları gidermek için kullanılır.
Estetik: Dişlerin görünümünü iyileştirir.
Zaman Açısından Verimli: Genellikle tek bir ziyarette tamamlanır.
Çok Yönlü: Çeşitli estetik sorunları ele alır.
Geri Dönüşümlü: Porselen kaplamalardan daha az kalıcıdır.
Prosedür
Kompozit kaplamalar için tedavi süreci genellikle hastanın uygunluğunu değerlendirmek ve istenen sonuçları görüşmek için bir konsültasyonla başlar. Bu yaklaşım sıfır diş preparasyonu gerektirir ve doğrudan kompozit rezin materyalinin uygulanmasıyla devam eder. Daha sonra materyal dikkatlice şekillendirilir ve istenen estetik sonucu elde etmek için cilalanır.
İlk Muayene ve Planlama
Diş Preperasyonu
Kompozit Malzeme Uygulaması
Şekillendirme ve Parlatma
Kompozit Lamina Nedir?
Diş hekimleri boşlukları doldurmak, dişlerdeki çatlak ve kırıkları onarmak ve aşınmış yüzeyleri tamir etmek için çoğunlukla kompozit dolgu maddelerini kullanırlar. Kompozit malzemeler arka grup dişlerde dolgu için kullanıldığı gibi ön grup dişlerde de estetik materyal olarak kullanılabilirler.
Kompozit Lamina Kimlere Uygulanır?
- Dişin renginden ve şeklinden memnun olmayanlarda (https://www.instagram.com/reel/DSr19H7jCrS/)
- Dişin büyüklüğünden ya da kısalığından memnun olmayanlarda (https://www.instagram.com/reel/DSr19H7jCrS/)
- Diş aralıklarının kapatılmasında (https://www.instagram.com/reel/DViTiNQjKGi/)
- Diş rengini birkaç ton değiştirmek isteyenlerde (https://www.instagram.com/reel/DC6QhwIIR0_/)
- Dişinde ya da dişlerinde kırıklar olanlarda
- Porselen kaplamaları olup bir iki yıl içerisinde kaplamalarını değiştirerek yeni diş görünümüne karar vermek isteyenlerde (https://www.instagram.com/reel/DBa_GSTo-Su/)
- Acil olarak düğün ya da benzeri özel bir günde kullanmak için esasen ortodontik tedaviye ihtiyacı olup acil estetik çözüme ihtiyaç duyanlarda
Bölüm 1 https://www.youtube.com/watch?v=Gqrtf-SU6Jg
Bölüm 2 https://www.youtube.com/watch?v=3wO4bZMbwQ0 - Diş etleri çekilmiş, dişlerinin arasında yoğun renklenmeleri olanlarda uygulama yapılabilir. (https://www.youtube.com/watch?v=5j3wEje5dFU)
Kompozit Lamina Uygulaması Öncesi
Kompozit lamina uygulamasına karar verirken;
Diş probleminizin direk kompozit lamina ile çözülüp çözülmeyeceğini belirlemek için önce diş hekiminiz dişlerinizin ve diş etlerinizin kapsamlı bir incelemesini ve değerlendirmesini yapacaktır.
Diş hekiminiz muayenenizi yaparken dişinizdeki çürüklere, çatlaklara, kırıklara ve boşluklara bakarak bir değerlendirme yapar. Çünkü dişlerdeki bu aşınmaya neden olan SORUNLAR giderilmez ise kompozitlerde de ileriye yönelik problem olacaktır. Bu nedenle problemlerin nedeni giderilmeden kompozit lamina uygulaması yapılmaz.
Kompozit laminalar gelişen teknoloji ile artık uzun ömürlü restorasyonlardır. Bu nedenle doğal dişlerin değerlendirilmesinin yapılması gerekmektedir. Doğal dişlerin ihtiyacı daha beyaz olması ise öncesinde beyaz bir görünüm için diş beyazlatma yöntemi kullanılabilir. Ayrıca aşırı kalın kompozit laminalar yapmamak adına öncesinde dişlerdeki çapraşıklıklar hizalama tedavileri ile düzeltilir. Yani kompozit laminalara bir ön hazırlık yapılır.
Dişlerinizin yeni görünümüne karar vermeniz için öncesinde Mock- Up uygulaması da yapılabilir.
Kompozit Uygulama Aşamaları Nasıl Yapılır?
Kompozit lamina öncesi yapılan mock-up ile yeni yapılacak diş görünümüne karar verilir. Bunun için dişe bazı ön uygulamalar yapılır.
Diş Eti Seviyesinin Ayarlanması
Dişlerin görünümünün düzeltilmesi için bazen diş eti seviyesinin ayarlanması gerekmektedir. Diş eti seviyesi ayarlanırken lazer cihazı kullanılarak daha estetik ve simetrik görüntü sağlanılabilir.
Diş Renginin Açılması
Estetik bütünlük sağlamak amaçlı dişlerin renklerinin de açılması gerekebilir. Özellikle sararmış ve eskimiş dişlerin renklerinin açılması için beyazlatma işlemine başvurulur. Bunun içinde Ev tipi veya Ofis tipi beyazlatma işlemi yapılabilir.
Kompozit Lamina Uygulaması Aşamaları
Direkt Kompozit Lamina Uygulaması
Gülüş tasarımında kullanılacak kompozit lamina uygulaması daha öncesinde yapılan muayene sonucunda, yapılacak dişin biçimine, şekline karar verilerek başlanır. Estetik diş hekimliğinin en önemli aşamalarından birisi olan ve hastalarımızın daha kolay karar vermesini sağlayan MOCK UP uygulamasında hastamızın zevki ve beklentileri bir şekilde anlaşılmış olur.
Bu beklenti ve istekler son kez değerlendirilerek kompozit malzeme rengi ve kullanılacak katlarda ki materyale de karar verilmiş bir şekilde işleme başlanır.
Doğrudan kompozit yapıştırma diş hekimi tarafından restoratif materyalin hassas bir şekilde yerleştirilmesini gerektirir. Oldukça hassasiyet gerektiren bu işlem esnasında dişin yüzeyi tamamen tükürükten izole edilir, yani dişe bu uygulama yapılırken tükürüğün asla değmemesi gerekir.
Dişin Hazırlanması
Diş yüzeyinin özel dezenfektanlar ve temizleyiciler ile temizlenerek yapıştırma işlemine hazırlanması gerekir. Yapıştırma işleminde öncelikle dış yüzeyi temiz bir hale getirilir, çürük varsa çürükler temizlenir. Diş etinin ve diş eti dokusunun kanamasız olması ve diş taşının olmaması çok önemlidir. Bu tip hazırlıklar kompozit laminadan önce mutlaka yapılmış olmalıdır yani diş taşları temizlenmeli hastalarımıza gerekli ağız bakımı ile ilgili kurallar birebir anlatılıp aktarılmalıdır.
Kompozitin Yerleştirilmesi
Yapılacak restorasyonun rengine göre tabakalar halinde kompozit dişin üzerine yapıştırılır bu esnada dişlerin ucunun şeffaflığı dişin daha beyaz görünümünü sağlamak amaçlı tabakalarda uygun renkler seçilir. Bu uygulamada özel kompozitler kullanılır.
Bu yerleştirme esnasında diş ekimi hastanın yüzünü burnunu çene ucunu, dudakların konumunu dikkate alarak direk dişlerin üzerine, adeta bir heykeltraş gibi yerleştirme işlemini gerçekleştirir. Her seferinde kompozit yerleştirildikten sonra ışınlı dolgu cihazı ile ışınlanarak kompozit sertleştirilir.
Kompozit Laminaların Şeklinin Verilmesi
Kompozitler yerleştirilip, sertleşme işlemi gerçekleştikten sonra yüzün şekline uygun olarak üst yüzeylerinde zımparalamalar yaparak, laminalar parlatılıp adapte edilir. Bu esnada dişlerin yüz ile hem mikro hem de makro uyumu gerçekleştirilmiş olur. Kompozitlerin diş arka yüzlerindeki adaptasyonları düzeltilir. Diş ipi kullanımı için gerekli alanlar oluşturulur. Yani diş yüzeyi hem temizliğe hem de estetik görüntüye hazırlanmış olur.
Kompozit Laminaların Uygulama Süresi Nedir?
Yaklaşık olarak altı adet kompozit laminanın uygulama süresi 2-2,5 saat kadardır. Tek seansta yeni görünüm tamamlanmış olur.
Kompozit Laminaların Bakımı Nasıl Olmalıdır?
Kompozit laminaların yapıldığı ilk gün 24 saat çay, kahve, kola, sigara kullanımı yasaklanır. Çünkü kompozitler sertleştirildiği 24 saat içerisinde bu tip renklendiricilere karşı dayanıksızdır. Fırçalama esnasında aşındırıcı içermeyen macunlar önerilir. Normal diş fırçalaması arayüz bakımı diş hekiminin de tavsiyesine göre gerçekleştirilmelidir. Gece plakları kompozit laminaların daha uzun kullanımı için yardımcıdır. Altı ayda bir kontrollere gelinmesi kompozit laminaların uzun yıllar kullanımı açısından önemlidir.
Kompozit Lamina Uygulaması Ömrü Ne Kadardır?
Diş hekiminin kullandığı malzemenin kalitesi yapılan işin kullanım ömrünü etkileyebilir. Ama aynı zamanda kompozit lamina uygulaması uygulayıcının el becerisi ve yeteneği ile de şekillendiğinden uygulamada kompozit laminanın ömrünü belirler. Çoğunlukla tek seansta yapılan uygulama ardından bir seans kontrol işlemi yapılır. Fakat bazı uygulamalarda şekil ve biçimin oturması için birkaç seansa ihtiyaç duyulabilir.
Kompozit Lamina Uygulaması Sonrası Nelere Dikkat Edilmelidir?
- Hastalarımıza yapılan bu uygulamadan sonra ağız ve diş eti bakımı ihmal edilmemelidir. Bununla birlikte rutin kontrollerin aksatılmaması ve gece plağının düzenli olarak kullanılması önemlidir.
- İlk 24 saat çay, kahve ve sigara kullanımı yapılmaması gerekir.
- Diş temizliği arayüz bakımları rutin olarak yapılmalıdır.
Kompozit Lamina Uygulaması Fiyatı Ne Kadardır?
Kompozit lamina uygulamaları kullanılan malzeme kalitesi ile birlikte değişen fiyat seçeneklerine sahiptir. Burada fiyatı etkileyen en önemli kriterlerden biri uygulamanın iş ve işçiliğidir.
Kompozit Laminalar Kırılır mı?
Kompozit lamina uygulamasının ince ve hassas bir şekilde dişe yapılan bir uygulama olduğu ve bu uygulamanın diş orijinal yapısına destek olması açısından sağlam ve dayanıklı bir tedavi olduğu bilinmelidir. Fakat orijinal dişe zarar verecek şeylerin işe zarar vereceği de bilinmelidir. Dişlere sert bir darbe alınması durumunda kırılma meydana gelebilir. Diş gıcırdatma alışkanlığı olanlarda dişin kırılması söz konusu olabilir.
Bonding Tedavisinin Avantajları Nelerdir?
- Dişlerde herhangi bir kesme aşındırma işlemi gerektirmemesi
- Dişler arasındaki aralıkları herhangi bir kabalık oluşturmadan ince bir yapı sağlaması
- Porselen lamina uygulaması yaptırmak isteyip de önce dişlerinin görüntüsünden emin olmak isteyenlerde güvenli uygulama sağlaması
- Dişlerin boylarında kolaylıkla uygulama sağlaması
- Genellikle uygulama öncesinde lokal anestezi uygulamaya gerek duyulmaması
- Diş ile ilgili yaşanabilecek herhangi bir probleme karşı hızlı çözüm bulunabilmesi

























Bizimle İletişime Geçin
Burada olduğunuz süre boyunca kliniğimizde sizin için olumlu ve rahat bir ortam yaratmak, sağlıklı ve sorunsuz bir tedavi süreci sağlamak istiyoruz.
Bizi Ziyaret Edin
Oran Mahallesi Kudüs Caddesi Park Oran Ofis 1/21 Kat:16 Daire No:54 Çankaya / ANKARA