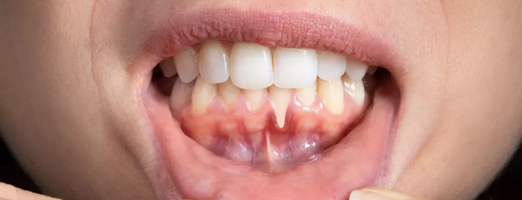
Diş Eti Çekilmesine Yol Açan Yaygın Sebepler Nelerdir?

Diş eti çekilmesi, dişlerin çevresindeki yumuşak dokunun geri çekilerek diş köklerinin açığa çıkması durumudur. Bu durum yalnızca estetik bir sorun değil, aynı zamanda diş sağlığını da doğrudan etkileyen bir problemdir. Erken aşamada fark edilmezse diş kayıplarına kadar ilerleyebilir. Bu yazıda diş eti çekilmesine yol açan yaygın sebepleri ve önleyici yaklaşımları ele alacağız. Yetersiz veya Yanlış […]

Maryland Köprü ile İmplant Arasındaki Farklar

Diş eksiklikleri, hem estetik hem de fonksiyonel açıdan önemli bir problemdir. Günümüzde bu eksikliklerin giderilmesinde Maryland köprü ve implant en sık kullanılan yöntemler arasındadır. Ancak bu iki tedavi seçeneğinin uygulama şekilleri, avantajları ve kullanım alanları birbirinden farklıdır. Peki Maryland köprü ile implant arasındaki temel farklar nelerdir ve hangi yöntem hangi durumlarda daha avantajlıdır?  Maryland Köprü […]

Maryland Köprü Ne Kadar Dayanıklıdır? Ömrünü Uzatmak İçin İpuçları

Maryland köprü, özellikle ön diş bölgesinde tek diş eksikliklerinde kullanılan, minimal invaziv yaklaşımıyla bilinen bir protez çözümüdür. Komşu dişlerin arka yüzlerine yapıştırılan kanatlar sayesinde sabitlenir ve estetik bir görünüm sunar. Ancak bu köprülerin dayanıklılığı, kullanım süresi ve bakım yöntemleri sıkça merak edilen konulardandır. 1. Maryland Köprünün Dayanıklılığı ve Ortalama Ömrü Maryland köprülerin dayanıklılığı; kullanılan malzeme […]

Zirkonyum Dişlerde Sementasyon Seçenekleri Hangi Sement Ne Zaman Tercih Edilmeli

Zirkonyum kaplamalar, estetik ve dayanıklılığı bir araya getiren modern diş restorasyonları arasında önemli bir yere sahiptir. Ancak zirkonyumun uzun ömürlü olabilmesi, sadece kullanılan materyalin kalitesiyle değil, aynı zamanda yapılan sementasyon işleminin doğru seçilmesiyle de yakından ilişkilidir. Farklı sement tipleri farklı avantajlar sunar ve her klinik durumda aynı materyal uygun olmayabilir. Bu yazıda, zirkonyum dişlerde kullanılan […]

Tam Kontur Zirkonyum mu, Katmanlı Zirkonyum mu?

Zirkonyum kaplamalar, estetik ve dayanıklılığı bir arada sunduğu için günümüzde en çok tercih edilen diş kaplama yöntemlerinden biridir. Ancak zirkonyum kaplamaların da kendi içinde çeşitleri vardır: tam kontur zirkonyum ve katmanlı zirkonyum. Peki, bu iki seçenek arasında nasıl bir fark vardır? Hangi durumlarda hangisi tercih edilmelidir? İşte tam kontur ve katmanlı zirkonyumun detaylı karşılaştırması. Tam […]

CAD/CAM Teknolojisi ile Zirkonyum ve Emax Kaplamalar: Estetik ve Dayanıklılık İçin Doğru Seçim

Zirkonyum kaplamalar ve Emax kaplamalar, estetik diş hekimliğinde en çok tercih edilen çözümlerden biridir. Her iki materyal de son yıllarda CAD/CAM teknolojisi ile üretilerek hem estetik hem de fonksiyonel açıdan üst düzey sonuçlar sunmaktadır. Ancak bu iki seçenek arasında belirgin farklılıklar bulunur. Bu yazımızda, “Zirkonyum mu Emax mi daha iyi?” sorusuna yanıt ararken, aynı zamanda […]

Zirkonyum Diş Kaplama Ne Kadar Dayanır? Uzun Ömürlü mü?

Zirkonyum diş kaplamaları, hem estetik görünümü hem de yüksek dayanıklılığı sayesinde son yıllarda sıkça tercih edilen restoratif çözümlerden biridir. Doğal dişlere benzer yapısı ve ışık geçirgenliği sayesinde gülüş estetiğinde öne çıkan bu kaplamalar, uzun ömürlü olmalarıyla da dikkat çeker. Peki, zirkonyum kaplamalar ne kadar süre kullanılabilir ve uzun ömürlü olması için hangi faktörlere dikkat edilmelidir? […]

Şeffaf Plaklarla Diş Düzeltme Ne Kadar Başarılı?

Ortodontik tedavi, dişlerin ideal konumlarına getirilerek estetik ve fonksiyonel bir ağız yapısı oluşturulmasını sağlar. Geleneksel yöntem olan metal tellerin yanı sıra, son yıllarda estetik kaygıları ön plana alan hastalar için şeffaf plaklarla ortodontik tedavi oldukça popüler hale gelmiştir. Peki, bu yöntem gerçekten etkili mi? Şeffaf plaklarla yapılan diş düzeltme ne kadar başarılı? Bu yazımızda, şeffaf […]

Zirkonyum Kaplama mı Emax mi? Hangisi Sizin İçin Daha Uygun?

Estetik diş hekimliğinde son yıllarda en çok tercih edilen kaplama türleri arasında zirkonyum ve Emax öne çıkmaktadır. Her iki malzeme de doğal diş görünümünü taklit edebilmesi, dayanıklılığı ve biyouyumluluğu sayesinde hastalar ve diş hekimleri tarafından sıkça tercih edilmektedir. Ancak bu iki seçenek arasında seçim yaparken ihtiyaçlara, estetik beklentilere ve dişin konumuna göre karar verilmesi büyük […]

Emax Kaplama Kimlere Uygundur? Hangi Durumlarda Tercih Edilmeli?

Diş estetiği ve restoratif diş tedavileri alanında son yıllarda en çok tercih edilen malzemelerden biri Emax kaplamalar olmuştur. Doğal diş görünümüne en yakın sonuçları sunması, yüksek ışık geçirgenliği ve estetik başarısıyla dikkat çeken Emax, özellikle ön diş estetiğinde öne çıkar. Ancak her hasta için uygun bir çözüm olmayabilir. Bu yazıda, Emax kaplamaların kimler için uygun […]