Is dental aesthetics possible without touching the original tooth?

Diş estetiği denildiğinde birçok kişi dişlerin kesildiği ve doğal yapının geri dönüşsüz şekilde değiştirildiği işlemleri düşünür. Bu nedenle estetik uygulamalara mesafeli yaklaşan hasta sayısı oldukça fazladır.Ancak günümüzde gelişen teknolojiler sayesinde artık orijinal dişe dokunmadan diş estetiği yapmak mümkündür. Bu yaklaşım, diş hekimliğinde minimal invaziv diş estetiği olarak adlandırılır ve temel amacı şudur: 👉 Dişin doğal […]
Post-Orthodontic Dental Aesthetics: A Complementary Guide to a Perfect Smile

Ortodontik tedavi (diş teli veya şeffaf plaklar), dişlerin düzgün hizalanmasını sağlayarak hem estetik hem de fonksiyonel açıdan önemli bir iyileşme sunar. Ancak özellikle erişkin hastalarda tedavi tamamlandıktan sonra sıkça şu soru gündeme gelir: “Dişlerim düzeldi ama neden hâlâ istediğim gülüş bu değil?” Bu sorunun cevabı oldukça nettir: Ortodonti tedavisi dişlerin pozisyonunu düzeltir, ancak dişlerin rengi, […]
What Causes Wisdom Tooth Pain? Symptoms and Solutions

20’lik dişler, genellikle 17–25 yaş arasında çıkan ve ağızda en son yer alan üçüncü azı dişleridir. Çoğu zaman çene yapısında yeterli yer olmadığı için düzgün şekilde çıkamazlar ve bu durum çeşitli ağrılara neden olabilir. 20’lik diş ağrısı, bazen hafif bir baskı hissiyle başlarken, bazı durumlarda günlük yaşamı ciddi şekilde etkileyen şiddetli ağrılara dönüşebilir. Bu ağrının […]
Things to Consider When Extracting Wisdom Teeth

20’lik dişler, çoğu zaman çene yapısında yeterli alan bulamadıkları için gömülü kalır veya yanlış pozisyonda çıkar. Bu durum ağrı, enfeksiyon ve komşu dişlere zarar gibi problemlere yol açabilir. Bu nedenle diş hekimleri, gerekli gördüklerinde 20’lik diş çekimini önerir. Her ne kadar günümüzde bu işlem oldukça güvenli ve rutin bir uygulama haline gelmiş olsa da, hem […]
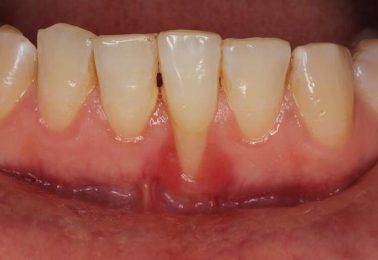
Gum Recession Treatment Methods: The Right Approach for Healthy Gums

Diş eti çekilmesi, diş etlerinin diş köklerinden uzaklaşarak geriye doğru çekilmesiyle ortaya çıkan yaygın bir ağız sağlığı problemidir. Bu durum yalnızca estetik açıdan değil, aynı zamanda dişlerin korunması açısından da ciddi sonuçlar doğurabilir. Diş köklerinin açığa çıkması hassasiyet, çürük riski ve ileri vakalarda diş kaybına kadar gidebilen sorunlara yol açabilir. Neyse ki günümüzde diş eti […]
Is Implant Treatment Painful? Facts and What You Need to Know About the Process

Eksik dişlerin tamamlanmasında en modern ve kalıcı çözümlerden biri olan implant tedavisi, günümüzde hem fonksiyonel hem de estetik açıdan güçlü bir seçenek sunar. Ancak birçok kişi için süreç başlamadan önce akla gelen ilk soru aynıdır: “İmplant tedavisi ağrılı mı?” Aslında bu sorunun cevabı yalnızca fiziksel değil, aynı zamanda duygusal bir deneyimi de içerir. Çünkü diş […]
Can gum recession happen suddenly?

Diş eti çekilmesi, ağız sağlığında sık rastlanan ancak çoğu zaman fark edilmeyen bir sorundur. Diş etinin dişi çevreleyen dokudan geri çekilmesi, diş köklerinin açığa çıkmasına ve hassasiyetin artmasına neden olur. Bu durum estetik açıdan da rahatsız edici olabilir ve zamanında müdahale edilmezse diş kaybına yol açabilir. Peki, diş eti çekilmesi bir anda mı olur, yoksa […]
What Does Bleeding Gum Mean? Causes and Prevention Methods

Diş eti kanaması, çoğu kişinin “önemsiz” gördüğü ama aslında ağız sağlığının en önemli sinyallerinden biridir. Diş etleri, vücudun bize verdiği sessiz uyarılardır. Peki her diş eti kanaması aynı anlama mı gelir? Cevap net: Hayır. Bazı kanamalar basit bir hijyen eksikliğinden kaynaklanırken, bazıları ise hormonal değişimlerin, beslenmenin ya da sistemik hastalıkların habercisi olabilir. Her Diş Eti […]
How are tooth decays detected? The importance of early diagnosis.

Diş çürükleri, en yaygın ağız ve diş sağlığı problemlerinden biridir. Genellikle ağrı başladığında fark edilse de, çürükler aslında çok daha erken evrelerde oluşmaya başlar. Bu süreçte doğru belirtileri tanımak ve düzenli kontroller yapmak, diş kaybını önlemek açısından kritik öneme sahiptir. Erken tespit edilen çürükler, daha basit ve hızlı tedavilerle kontrol altına alınabilir. Diş Çürüğünün İlk […]
How to Detect a Toothache?

Diş ağrısı, günlük yaşam kalitesini ciddi şekilde düşüren en yaygın sağlık sorunlarından biridir. Ancak her diş ağrısı aynı nedene bağlı değildir. Çürük, diş eti hastalığı, sinir iltihabı veya çene problemleri gibi birçok farklı faktör ağrıya yol açabilir. Bu nedenle ağrının kaynağını doğru şekilde tespit etmek, etkili tedavinin ilk ve en önemli adımıdır. Diş Ağrısının Belirtileri […]